
Acoustic Neuroma
see images here,
here,
here, here,
here,
here,
here,
here,
here
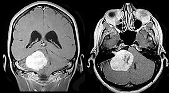
Acoustic neuromas, also known as acoustic schwannomas, acoustic neurinomas, vestibular schwannomas, and vestibular neurilemomas, are Schwann cell derived tumors commonly arising from the vestibular portion of the eighth cranial nerve. They account for approximately 8 percent of intracranial tumors in adults and 80 to 90 percent of cerebellopontine angle tumors (CPAs). In comparison, they are rare in children without neurofibromatosis.
Acoustic neuromas
(and other cranial neuromas) respond well to radiosurgery. The control rates
are now as high as 98.6% and the risk of injury to other cranial nerves is small (0% VIIn
and 4% Vn with doses of 12-13Gy (see 2007 study and 2005 study) with
serviceable hearing preserved in the majority (7 0 - 83% to 100% dose < 14Gy from
Niranjan 1999,
see side effects.)
Recent studies from 2009 here. Read
radiosurgery guidelines for acoustic neuroma
here
Most authors are recommending low doses (see Iwai.) See studies below and on the complication page.)
Local control is very high (96%/3y and 94%/7y especially
if the coverage is accurate and dose at least 13Gy, go
here)
see recent studies and see review article#1
, #2 ,
#3 ,
#4,
#5
discussion of imaging here.
more MRI images here



|
|
|
|
|
Radiosurgery of vestibular schwannomas: summary of experience in 829 cases. |
![]() |
Long-Term Outcomes after Radiosurgery for
Acoustic
Neuromas N Engl J Med 1998; 339:1426-1433, Nov 12, 1998
|
| Background Stereotactic radiosurgery
is the principal alternative to microsurgical resection for acoustic
neuromas
(vestibular schwannomas). The goals of radiosurgery are the long-term
prevention of tumor growth, maintenance of neurologic function, and prevention
of new neurologic deficits. Although acceptable short-term outcomes have
been reported, long-term outcomes have not been well documented. Methods We evaluated 162 consecutive patients who underwent radiosurgery for acoustic neuromas between 1987 and 1992 by means of serial imaging tests, clinical evaluations, and a survey between 5 and 10 years after the procedure. The average dose of radiation to the tumor margin was 16 Gy, and the mean transverse diameter of the tumor was 22 mm (range, 8 to 39). Resection had been performed previously in 42 patients (26 percent); in 13 patients the tumor represented a recurrence of disease after a previous total resection. Facial function was normal in 76 percent of the patients before radiosurgery, and 20 percent had useful hearing. Results The rate of tumor control (with no resection required) was 98 percent. One hundred tumors (62 percent) became smaller, 53 (33 percent) remained unchanged in size, and 9 (6 percent) became slightly larger. Resection was performed in four patients (2 percent) within four years after radiosurgery. Normal facial function was preserved in 79 percent of the patients after five years (HouseBrackmann grade 1), and normal trigeminal function was preserved in 73 percent. Fifty-one percent of the patients had no change in hearing ability. No new neurologic deficits appeared more than 28 months after radiosurgery. An outcomes questionnaire was returned by 115 patients (77 percent of the 149 patients still living). Fifty-four of these patients (47 percent) were employed at the time of radiosurgery, and 37 (69 percent) remained so. Radiosurgery was believed to have been successful by all 30 patients who had undergone surgery previously and by 81 (95 percent) of the 85 who had not. Thirty-six of the 115 patients (31 percent) described at least one complication, which resolved in 56 percent of those cases. Conclusions Radiosurgery can provide long-term control of acoustic neuromas while preserving neurologic function. Radiosurgery Technique |