
PostOperative Radiation
see video
here
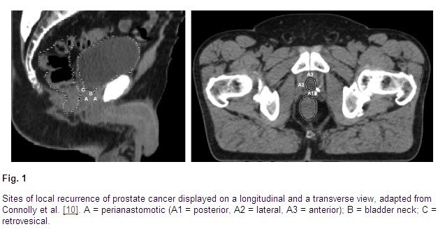
Postoperative radiation (i.e. radiation given to the tumor bed, or the area where the prostate was removed from with a radical prostatectomy) is generally recommended if the pathology report shows that the tumor has spread through the capsule, into the seminal vesicles or has + surgical margins (T3 cancer). Radiation given immediately after recovering from surgery (which may take 6 weeks to 3 months) is called adjuvant or postoperative therapy, and there are three large studies showing the benefit of post operative radiation (go here). Collected data say the best results are when the PSA is the lowest and for every PSA rise of 0.1 the cure rate falls by 4% (go here) and here.
Radiation given to men who have had surgery and later develop a recurrence (usually based on a rising PSA) is called salvage radiation and is discussed separately (go here.)
In general, radiation given after surgery for T3 lesions will improve the local
control and possibly survival as noted (see study
, here ,
here,
here
, here
and study here). Immediate
postOp radiation is particularly beneficial if the surgical margins are
involved (go here).
The proper
dose is being studied (here).
For high risk patients the dose may need to be as high as 72Gy (go
here). The lower the PSA after surgery the better the chance for cure (go
here and here) and the lower
the Gleason the better (here).
| See the
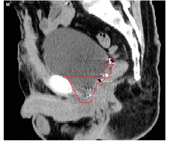
NCCN guidelines. A Typical technique from RTOG P-0011 which compares postOP radiation
alone (63 - 66Gy) with radiation plus two years of Lupron, the radiation ports are
shown here and here and here. The RTOG has
a contouring site
here, other images for contouring:
1,
2,
3,
4,
5,
6,
7,
8. Using image guided IMRT will
have the least side effects (go here).
As noted in the
RTOG trial the question arises as to whether these patients should get hormone therapy
along with radiation. In the salvage patients adding hormone therapy to
radiation showed benefit (see the study from Stanford (see here). In
RTOG 0621 they also consider adjuvant chemotherapy (see
here). .
|
| Surgery | Surg + Radiation | |
| Local Control/10 years | 60% | 90% |
| Survival at 10years | 62% | 62% |
Anscher IJROBP 1995;33:37 Data from Duke

| There is debate as to whether radiation should begin immediately for all T3 lesions or whether to wait until the PSA starts to rise or at least stays elevated (salvage radiation.) In general immediate PostOp radiation has better results than waiting and attempting salvage. In general routine postOp (adjuvant radiation) cures about 70% of the men, but salvage radiation (waiting till the PSA is clearly rising) cures about 50%. So in general adjuvant may be better than salvage but as long as the man is treated before the PSA gets too high the results are probably the same (see study by Hagan) and data below and on the salvage page. |
| Therapy | Cured at 3years (bNED/3y) |
| Salvage at relapse | 68% |
| Immediate PostOp | 88% |
Morris. IJROBP 1997;38:731 Harvard Data
| for more information about postOp
radiation after the PSA starts rising go here. recent studies still suggest that immediate radiation (after surgery if the path shows + margins or is T3) will improve the cure rate (i.e. bNED meaning the PSA will remain low) but not improve the overall survival (see study below)
Positive resection margin and/or pathologic T3
adenocarcinoma of prostate with undetectable postoperative prostate-specific antigen after
radical prostatectomy: to irradiate or not? |