- Floor of Mouth
Cancer:
here
- Tongue PET
scans are better than CT scans go
here, and
here
- Small Base of Tongue
cancers:
small base of tongue, small base of
tongue with large node, occult
cancer with large node
- Base of Tongue
cancers:
base of tongue ,
tongue with nodes,
advanced base of tongue, advanced,
advanced,
advanced
- Oropharynx:
here
- Pyriform sinus:
here,
here
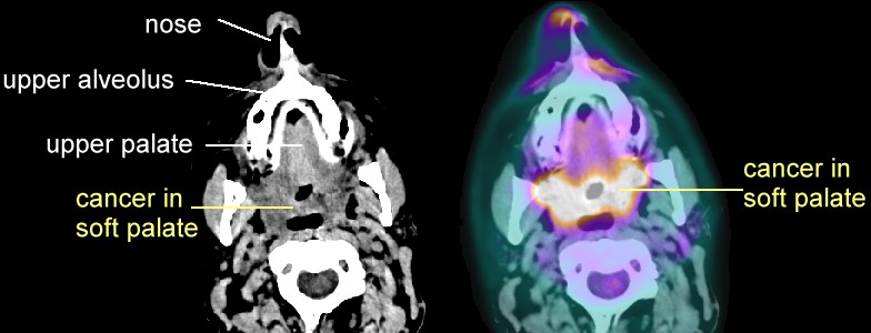
- Soft palate:
PET/CT
here and
here
- Tonsil PET
scans:
here,
here,
here,
here,
here,
tonsil nodes,
here ,
here,
here,
here
- Larynx:
T1 lesion,
T1 lesion,
T4 lesion, T1 lesion
here and
here
-
Supraglottic Larynx:
Supraglottic larynx,
epiglottis,
T2 epiglottis,
T2N2 epiglottis and
CT,
advanced Supraglottic.
response to radiation here
-
Nasopharynx,
here ,
here ,
here,
here,
here,
here
-
Nasosinus:
here,
here
-
Neck Nodes:
Small neck node, large
neck nodes, tonsil
lymphoma,
neck nodes after chemoRx,
-
Neck Nodes: PET
scans are better than CT at identifying which lymph nodes have cancer in
them: see
here and
here
-
Retormolar trigone PET
scans: here and
here
- Thyroid
cancer PET scans
here and
here
|