pineal_cyst.jpg (10659 bytes)

PINEAL REGION TUMORS (see radiation and pineal tumors, summary #2)

The pineal body (epiphysis) is a small reddish-gray body, about 8 mm. in length which lies in the depression between the superior colliculi. It is attached to the roof of the third ventricle near its junction with the mid-brain. It develops as an outgrowth from the third ventricle of the brain. 1 In early life it has a glandular structure which reaches its greatest development at about the seventh year. Later, especially after puberty, the glandular tissue gradually disappears and is replaced by connective tissue.

see anatomy   #1,   #2,   #3#4#5
more mri # 1 and # 2

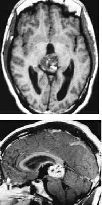
pinealoma.jpg (12316 bytes)

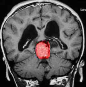
Among central nervous system (CNS) tumors, the widest variety of pathologic types occurs in the region of the pineal gland and posterior third ventricle . The numerous cell types that make up the normal gland and surrounding periventricular region contribute to these diverse histologic subtypes. The pineal gland is composed of glandular tissue, glia, endothelial cells, and sympathetic nerve terminals. Pineal cell tumors and pineoblastomas arise from pineal glandular elements, astrocytomas and oligodendrogliomas from glial cells, hemangioblastomas from endothelial cells, and chemodectomas from sympathetic nerve cells. Arachnoid cells in the reflections of the tela choroidea adjacent to the pineal gland give rise to meningiomas. Ependymomas arise from ependymal cells that line the third ventricle. Germ cell tumors (GCTs) derive from primitive germ cell rests that are retained in the pineal and other midline structures after embryologic migration courses. Pineal tumors account for approximately 1% of all intracranial tumors in the United States. In Asia, where GCTs are endemic, pineal cell tumors constitute 4% to 7% of all intracranial tumors.



GERM CELL TUMORS

GCTs account for approximately one-third of all pineal tumors and are histologically identical to gonadal GCTs with a predominance in men and younger age groups. Extragonadal GCTs (including pineal region) have a poorer prognosis than gonadal GCTs. GCTs range along a spectrum from benign (as in teratomas, dermoids, epidermoids, and lipomas) to highly malignant (as in choriocarcinomas, embryonal cell carcinomas, teratocarcinomas, and endodermal sinus tumors).

Germinomas are tumors of an intermediate degree of malignancy arising from primordial germ cells that can occur in the gonads or in midline sites in the nervous system (pineal and suprasellar region) or body (mediastinum and sacrococcygeal region). Although histologically identical in all sites of origin, by conventional nomenclature germinomas in the testes are called seminomas, those in the ovaries are dysgerminomas, and those in the CNS are germinomas (previously called atypical teratomas).

Unlike suprasellar GCTs, which show no sexual predisposition, GCTs of the pineal region occur predominantly in males. Germinomas are most common in boys in the first or second decade and have a propensity to seed the cerebrospinal fluid (CSF) pathways. Despite their malignant characteristics, germinomas are exquisitely sensitive to radiotherapy and chemotherapy; they can be cured in many patients. The presence of beta human chorionic gonadotropin (b-hCG) in a germinoma implies a slightly worse prognosis.

Embryonal cell carcinomas, choriocarcinomas, and endodermal sinus tumors are rare but highly malignant GCTs that may metastasize to the CSF. Choriocarcinoma contains cyto- and syncytiotrophoblastic cells that produce b-hCG. Endodermal sinus tumors contain yolk sac elements that produce alpha-fetoprotein (AFP). High levels of b-hCG or AFP in the CSF or serum indicate the presence of malignant germ cell elements, and histologic confirmation is not necessary for treatment with radiation, chemotherapy, or both . GCTs in general are difficult to classify because 25% are of a mixed type, containing both malignant and benign elements or several different malignant elements. Extensive specimen sampling is necessary for accurate histologic determination. High AFP or b-hCG levels in the CSF trigger an extensive search for malignant germ cell elements even if the pathologic specimens suggest otherwise. Benign GCTs such as teratomas, dermoids, and epidermoids are generally curable with surgery alone. Teratomas are composed of tissues from three germ cell lines (endo-, ecto-, and mesoderm). Immature teratomas are a variant of this tumor that may grow quickly and behave in a malignant fashion, including CSF seeding.

PINEAL CELL TUMORS

Pineal cell tumors arise from pineocytes and range from histologically primitive pineoblastomas to well-differentiated pineocytomas. Attempts to correlate prognosis and survival with either variant have been inconclusive because both may behave in a malignant fashion, with recurring at the primary site and spreading through the CSF. Pineal cell tumors occur in children and young adults before age 40 with no sex predominance. They are occasionally found concurrently with retinoblastomas and may contain mixed cell types. The pineoblastomas are considered a variant of primitive neuroectodermal tumors. Pineal cell tumors are radiosensitive, but experience with chemotherapy is limited.

GLIOMAS

Gliomas, like GCTs, account for one-third of pineal tumors. Most are invasive and have a prognosis comparable with astrocytomas of the brainstem. About one-third of gliomas are low grade, cystic, and surgically curable. Anaplastic astrocytomas and glioblastomas are less common. Oligodendrogliomas and ependymomas may also occur. Treatment of these tumors is identical to the treatment of gliomas in other areas of the CNS.

MENINGIOMAS

Meningiomas can arise from the velum interpositum or from the tentorial edge with a higher incidence in middle age and the elderly. They are amenable to surgical resection.

METASTASIS AND OTHER MISCELLANEOUS TUMORS

The pineal gland does not have a blood–brain barrier and, like the pituitary gland, may be underrecognized as a possible site for CNS metastasis of systemic tumors. Miscellaneous tumors include sarcoma, hemangioblastoma, choroid plexus papilloma, lymphoma, and chemodectoma.

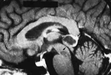
PINEAL CYSTS

Benign cysts of the pineal gland are often found incidentally on radiographic studies, and it is important to distinguish them from cystic tumors. They are normal variants of the pineal gland and consist of a cystic structure surrounded by normal pineal parenchymal tissue. Radiographically they are up to 2 cm in diameter and often have some degree of peripheral enhancement that may be a compressed normal pineal gland. Pineal cysts may be found in 4% of all magnetic resonance images. These cysts are static anatomic variants and need no treatment unless they become symptomatic. In one series of 53 pineal cysts, fewer than 10% developed hydrocephalus requiring surgical intervention.

SYMPTOMS

Pineal region tumors can become symptomatic by three mechanisms: increased intracranial pressure from hydrocephalus, direct brainstem and cerebellar compression, or endocrine dysfunction. Headache, associated with hydrocephalus, is the most common symptom at onset and is caused by obstruction of third ventricle outflow at the aqueduct of Sylvius. More advanced hydrocephalus can result in papilledema, gait disorder, nausea, vomiting, lethargy, and memory disturbance. Direct midbrain compression can cause disorders of ocular movements such as Parinaud syndrome (paralysis of upgaze, convergence or retraction, nystagmus, and light-near pupillary dissociation) or the Sylvian aqueduct syndrome (paralysis of downgaze or horizontal gaze superimposed upon a Parinaud syndrome). Either lid retraction (Collier sign) or ptosis may follow dorsal midbrain compression or infiltration. Fourth nerve palsies with diplopia and head tilt may be seen. Reversibility is a clue to pathogenesis; eye signs due to hydrocephalus recede promptly after ventricular shunting. Ataxia and dysmetria can result from direct cerebellar compression.

Endocrine dysfunction is rare, usually arising from secondary effects of hydrocephalus or tumor spread to the hypothalamic region. Diabetes insipidus occurs in less than 5% of pineal tumors, usually with a germinoma (Fig. 57.2). The symptoms may occur early, before any radiographic documentation of hypothalamic seeding. Although precocious puberty has been linked historically with pineal masses, documented cases are rare. Precocious puberty is actually precocious pseudopuberty because the hypothalamic-gonadal axis is not mature. It occurs strictly in boys with choriocarcinomas or germinomas with syncytiotrophoblastic cells and ectopic secretion of b-hCG. In boys, the luteinizing hormonelike effects of b-hCG can stimulate Leydig cells to produce androgens that induce development of secondary sexual characteristics and pseudopuberty. This phenomenon does not occur in girls with pineal region tumors because GCTs are rare in females; also, and more important, both luteinizing hormone and follicle-stimulating hormone are necessary to trigger ovarian estrogen production.

DIAGNOSIS

Magnetic resonance imaging (MRI) is the principal diagnostic test for pineal region tumors. MRI with gadolinium enhancement is mandatory for all pineal tumors to determine the presence of hydrocephalus and to evaluate tumor size, vascularity, and homogeneity. In particular, sagittal MRI reveals the relationship of the tumor to surrounding structures as well as possible ventricular seeding. Computed tomography is complementary but does not provide as much information as MRI. Angiography is not performed unless a vascular anomaly is suspected. Measurement of AFP and b-hCG in serum and CSF is routine in the preoperative workup. If b-hCG or AFP levels are elevated, malignant germ cell elements are present even if histologic examination gives a benign impression, because a small island of these cells in a large tumor may be overlooked. Despite improved imaging and CSF markers, a definite histologic diagnosis cannot be made without pathologic examination of tumor tissue.

SURGERY

Because of the wide variety of pineal region tumor subtypes, a histologic diagnosis is mandatory for optimal patient management. The pineal region may be approached surgically from one of several variations, above or below the tentorium. Nearly one-third of pineal tumors are benign and curable with surgery alone. With malignant tumors, aggressive tumor resection provides the best opportunity for accurate histologic diagnosis and may increase the effectiveness of adjuvant radiotherapy or chemotherapy. The overall operative mortality is about 4%, with an additional 3% permanent major morbidity. The most serious complication of surgery is hemorrhage into a partially resected malignant tumor. The most common postoperative complications are ocular palsies, altered mental status, and ataxia; all are usually transient. For patients with obviously disseminated tumor or those with medical problems that pose excessive surgical risks, stereotactic biopsy is a reasonable alternative for obtaining diagnostic tissue. Although gaining in popularity, stereotactic biopsy is not performed routinely for these reasons: increased sampling error through insufficient tissue analysis, increased risk of hemorrhage from adjacent deep venous system and highly vascular pineal tumors, and the better prognosis that follows aggressive resection.

POSTOPERATIVE STAGING

All patients with pineal cell tumors, malignant GCTs, and ependymomas are thoroughly evaluated for CSF seeding even though this is a rare occurrence . High-resolution MRI is more sensitive than computed tomography myelography. CSF cytology is not reliable in predicting seeding.

RADIATION THERAPY

Radiation therapy consists of 4,000 cGy to the whole brain with an additional 1,500 cGy to the pineal region; it is recommended for all patients with malignant pineal region tumors. Spinal radiation is not recommended unless there is radiographic documentation of spinal seeding.

Radiosurgery for pineal tumors is promising, but experience is limited. It could be most useful for malignant pineal cell tumors and other small malignant tumors (less than 3 cm in diameter), particularly if combined with fractionated radiation. It may also be helpful for tumors that recur after radiation therapy. Germinomas historically have had an excellent response to external fractionated radiotherapy, and radiosurgery seems unlikely to improve upon those results.

CHEMOTHERAPY

Chemotherapy has been of most benefit with nongerminomatous malignant GCTs. The most commonly used regimens are combinations of cisplatin, vinblastine, and bleomycin or cisplatin and VP-16 (etoposide), which are usually given before radiation therapy. The results of chemotherapy alone may be comparable with those of radiation therapy for pure germinomas. There has been a trend to reduce radiation dosage because of long-term neurotoxicity by combining it with chemotherapy.

LONG-TERM OUTCOME

Generally, benign pineal tumors are curable with surgery alone. Among malignant tumors, the prognosis depends on the tumor histology. Germinomas have a 75% to 80% 5-year survival with combined surgery and radiotherapy. Patients with a nongerminomatous malignant GCT rarely survive beyond 2 years, but this may improve with better chemotherapy. About one-third of astrocytomas are cystic tumors and are cured by surgery alone. Solid astrocytomas behave clinically like other brainstem gliomas and have a 67% 5-year survival rate. Radiation therapy is usually recommended for these tumors, but any effect on survival is difficult to evaluate. Among pineal cell tumors, a few are discrete, histologically benign, and completely resectable. Most malignant pineal cell tumors, however, are not resectable and have a 55% 5-year survival rate with surgery and radiation.