Home

Cancer

Cancer Types

Links

Site Map

 
Main anatomy section here

Anatomy#1, #2, #3, nodes at risk
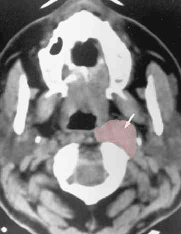
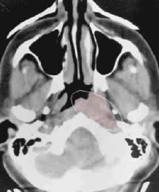
CT normal anatomyCTCTpic#1 and pic#2, CT advanced nasopharynx cancer
CT/PET relapse

Nasopharynx PET Scans, here , here , here, here, here, here