Home

Cancer

Cancer Types

Links

Site Map


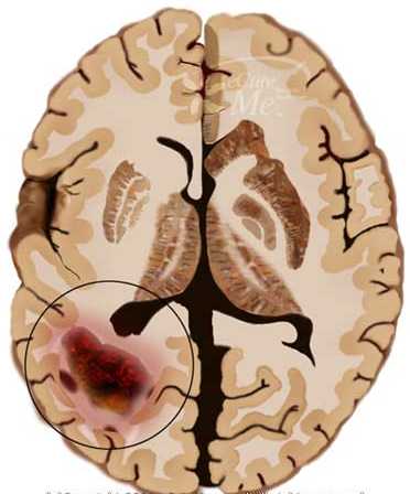
Primary brain tumors (originate in the brain, usually from a glial cell so called a glioma, read review article here) need to be distinguished from brain metastases (cancers that originate elsewhere and then spread to the brain.

Brain Metastases are discussed elsewhere, and all other types of brain tumors here.)