small_cell_typical_cxr.jpg (5019 bytes)

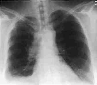
Small Cell Cancer Right Lung

On the left is a typical chest Xray appearance of a patient with small cell carcinoma of the right lung. The cancer is almost always central and often hidden by the heart and other central (mediastinal) structures, which can occasionally make it hard to see on a regular chest Xray.

It is often more obvious on a CT scan as the images below (from the same patient) demonstrate. Also on a CT Scan often only the malignant lymph nodes are visible and the area in the lung where the cancer actually started is not visible go here)

go here for more X-rays

small_cell_xray_ct.jpg (12369 bytes)

1

setstats 1