Images and X-rays of Sarcomas

Typically a sarcoma was a large tumor that would grow out of the deep tissues in the leg (see historical picture from 1816 here and from 1920 here).

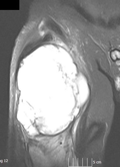
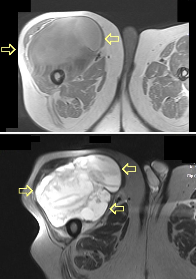
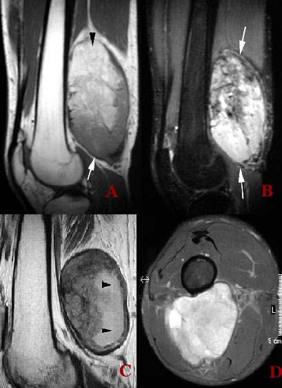
They are usually well seen on an MRI (go here ,here and here).

Patient with a large sarcoma in the right anterior thigh: CT here, MRI here and here, PET after neoadjuvant chemotherapy here and here

(For a picture of a retroperitoneal sarcoma see CT here and PET scan here, here and here).

 

PET Scan

 

MRI Scan

   

setstats 1