mediastinum1a.jpg (14953 bytes) Regional Node Stations

N2 - Superior Mediastinal Nodes
2R = right upper paratracheal
2L = upper left paratracheal

4R = right lower paratracheal
4L = left lower paratracheal

 

N2 - Inferior Mediastinal Nodes
7 = subcarinal
8 = paraesophageal
9 = pulmonary ligament

N1 Nodes
10R = right tracheo-bronchial angle
10L = left tracheo-bronchial angle

11 = interlobar
12 = lobar
13 = segmental
14 = subsegmental

mediastinum2a.jpg (10841 bytes) N2 Aortic Nodes

5 = aorto-pulmonary
6 = anterior mediastinal nodes

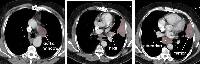
CT scans below show a patient with a large left lung cancer with spread to the lymph nodes, higher up the aortic_window nodes (N2 level 5) lower down the hilar nodes (N1 level 11) and then further down the subcarinal nodes (N2 level 7)

lung_typical_nodes_bmc.jpg (28853 bytes)