Pancreas Imaging

ERCP from JHU. Bile Duct Obstruction
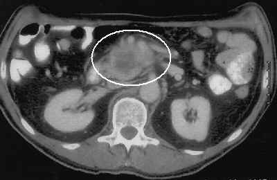
CT anatomy: a, b, c, d, e, f , g,  hi, j      CT anatomy more: a, b, c , de f, more      CT pancreas cancer from JHU
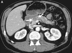
CT cancer: ab , c, d, e, f        CT of a resectable case, more CT and more CT
pancreas blood vessels: a, b, c, d         Pancreas angiography from JHU
PET scans will show the cancer much better than with a CT (go here)       PET Scans: #1 , #2, #3, #4, #5, #6, #7, #8