normal_chestXray.jpg (6228 bytes)

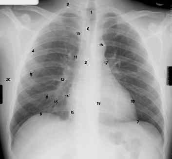
               Features of anatomy visible on normal PA film

1.Tracheal air column
2.Carina
3.First rib; count down from here for diaphragmatic level
4.Peripheral 1-2 cm of lung fields have no markings except
5.The minor fissure
6.Top of the diaphragm is near the medial half of its length. The top of the right diaphragm is normally at a level between
the anterior end of the anterior 6th rib and the anterior 7th rib. The level of the diaphragm can also be reported eith
reference to the posterior ribs: on full inspiration, the domes of the diaphragm are seen overlying the posterior aspects fot
he 10th and 11th ribs.
7.Left diaphragm is lower in 90-95% of normals by roughly half an interspace (2% greater than 3 cm)
8.Inferior margins of the posterior ribs are often ill-defined
9.Anterior mediastinal line (apposed visceral and parietal pleura of the two upper lobes
10.Superior vena cava shadow blends imperceptibly into the shadows of the neck
11.Region of the azygous vein (vein not visible). A caliber greater than 7 mm is suggestive of raised venous pressure, or
enlargement of adjacent node. Normal may be up to 10 mm.
12.Right descending pulmonary artery. Not greater than 16 mm in men, 15 mm in women
13.Pulmonary arteries and veins. Hard to distinguish the two. Arteries are vertical and medial and emerge from the hilum.
Veins are horizontal and lateral ad run toward the left atrium below the hilum.
14.Border of the right atrium
15.Inferior vena cava
16.Aortic arch
17.Left pulmonary artery
18.Border of the left ventricle
19.Descending aorta
20.Fat density lines in the intermuscular fascial layers

1

setstats1 1