Radiographic signs of meningiomas

MRI_meningioma_2_utd.jpg (51261 bytes)

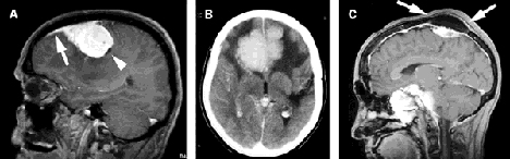
A: Tail sign: tapering dural thickening (arrow) due to direct tumor involvement or reactive change in the dura, is a highly characteristic sign of meningioma; note also the small reactive arachnoid cyst, reflecting the extraaxial site of this lesion (arrowhead). B: Reactive cerebral white matter changes. C: Bony reactive changes: reactive bone sclerosis, reflected in the increased vault thickness (arrows) is seen most commonly in patients with multiple meningiomas associated with neurofibromatosis type 2; invasive tumors such as these can cause problematic extracranial facial masses. Reproduced with permission from: Whittle, IR, Smith, C, Navoo, P, Collie, D. Meningiomas. The Lancet 2004; 363:1536. Copyright ©2004 Elsevier.