 |
key structures on CT in the mediastinum:
CT image A, CT image B, CT image C, CT image D, CT image E
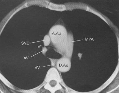
CT of normal mediastinum. Five 1-cm thick sections have been selected to show the
important anatomical features (AE). The level of each section is illustrated in the
diagram. A.Ao = ascending aorta, AV = azygos vein, D.Ao = descending aorta, IA =
innominate artery, LCA = left carotid artery, LIV = left innominate vein, LPA = left
pulmonary artery, LSA = left subclavian artery, MPA = main pulmonary artery, Oes =
oesophagus, RIV = right innominate vein, RPA = right pulmonary artery, SVC = superior vena
cava, T = trachea, RA = right atrium, LA = left atrium, RVO = right ventricular outflow
tract.
|