liver_adam.jpg (8365 bytes)

Liver Anatomy and Metastases Images


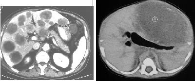
picture at left CT shows  multiple liver metastases throughout the liver and below CT with large metastasis in the right lobe of the liver

normal liver, more anatomy, more, superior view, inferior viewposterior-inferior view, segmental anatomy and

see CT of the normal liver, CT normal  liver, CT with multiple liver mets, CT advanced liver mets

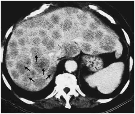
cross section through liver,    Primary liver cancers (hepatoma) can look like liver mets (go here). 

PET scans are very good for liver mets (here, here, here, here , here here, here, here, here, here and here).
 

PET scans are more sensitive at demonstrating liver metastases than a simple CT scan as noted above

liver_mets_comparisons.jpg (13796 bytes)

As noted in CT pictures, liver metastases may be multiple (picture on far left) or present with one large mass. The pattern would impact on how the liver could be best treated.