hepatic_xrt_jco.jpg (13440 bytes)

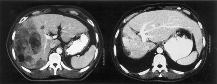
CT scan of unresectable hepatocellular carcinoma durable response 11 months after focal liver RT and hepatic arterial FUdR

As noted before, low dose radiation (2100 to 3000cGy) to the whole liver has a high rate of palliation (80 - 90% of the patients will get relief of pain). There have been more recent studies using highly focused or targeted radiation which allows for higher doses (5000 to 7000cGy) to be safely used and better long term results. Some studies are note below.

Highly targeted radiosurgey may be very effective for liver metastases

Escalated focal liver radiation and concurrent hepatic artery fluorodeoxyuridine for unresectable intrahepatic malignancies.

Dawson LA, .J Clin Oncol. 2000 Jun;18(11):2210-8.

Departments of Radiation Oncology, Internal Medicine, and Pharmacology, University of Michigan, Ann Arbor

PURPOSE: To evaluate the response, time to progression, survival, and impact of radiation (RT) dose on survival in patients with intrahepatic malignancies treated on a phase I trial of escalated focal liver RT. PATIENTS AND METHODS: From April 1996 to January 1998, 43 patients with unresectable intrahepatic hepatobiliary cancer (HB; 27 patients) and colorectal liver metastases (LM; 16 patients) were treated with high-dose conformal RT. The median tumor size was 10 x 10 x 8 cm. The median RT dose was 58.5 Gy (range, 28.5 to 90 Gy), 1.5 Gy twice daily, with concurrent continuous-infusion hepatic arterial fluorodeoxyuridine (0.2 mg/kg/d) during the first 4 weeks of RT. RESULTS: The response rate in 25 assessable patients was 68% (16 partial and one complete response). With a median potential follow-up period of 26.5 months, the median times to progression for all tumors, LM, and HB were 6, 8, and 3 months, respectively. The median survival times of all patients, patients with LM, and patients with HB were 16, 18, and 11 months, respectively. On multivariate analyses, escalated RT dose was independently associated with improved progression-free and overall survival. The median survival of patients treated with 70 Gy or more has not yet been reached (16.4+ months), compared with 11.6 months in patients treated with lower RT doses (P =.0003). CONCLUSION: The excellent response rate, prolonged intrahepatic control, and improved survival in patients treated with RT doses of 70 Gy or more motivate continuation of dose-escalation studies for patients with intrahepatic malignancies.

The role of radiotherapy in the treatment of liver metastases.

Dawson LA, Lawrence TS.    Cancer J. 2004 Mar-Apr;10(2):139-44.

Department of Radiation Oncology, Princess Margaret Hospital, University of Toronto, Toronto, Ontario, Canada. laura.dawson@rmp.uhn.on.ca

Radiotherapy has historically played a minor role in the treatment of patients with unresectable liver metastases from colorectal cancer and other malignancies. This can be attributed chiefly to the low tolerance of the whole liver to radiation. High-precision radiotherapy planning techniques have allowed much higher doses of radiation to be delivered safely to focal liver metastases, while sparing most of the normal liver. When combined with hepatic arterial fluorodeoxyuridine, high-dose focal liver radiotherapy is associated with excellent response rates, local control, and survival in patients with unresectable liver metastases from colorectal cancer. Radiotherapy, with and without concurrent systemic chemotherapy, has also been used with encouraging outcomes for patients with liver metastases from colorectal cancer and other cancers. There appears to be a radiation dose response for liver metastases; tumors treated with doses of 70 Gy or greater are likelier to have durable local control. Advancements in tumor imaging, in radiotherapy techniques that will allow the safe delivery of higher doses of radiation, and in novel tumor radiation sensitizers and normal tissue radioprotectors should substantially improve the outcome of patients with unresectable liver metastases treated with radiotherapy.

Radiotherapy of liver malignancies. From whole liver irradiation to stereotactic hypofractionated radiotherapy.

Greco C,Tumori. 2004 Jan-Feb;90(1):73-9.

Division of Radiation Oncology, European Institute of Oncology, Milan, Italy.

AIMS AND BACKGROUND: Until recently radiotherapy of hepatic malignancies has played a limited role due to the well-known limited radiotolerance of the liver. The aim of this paper is to review the available data on the risk of radiation-induced liver disease (RILD) and to define the modern role of radiotherapy in the management of patients with metastatic or primary liver malignancies. METHODS: The advent of three-dimensional conformal treatment planning with dose-volume histogram analysis has made the study of partial liver irradiation possible. Limited portions of the liver may withstand high doses of radiation with minimal risk of RILD. Patients with solitary unresectable liver tumors may be treated with high-dose radiotherapy with curative intent. Recently, the feasibility of stereotactically guided treatment techniques with a single fraction or few treatment sessions has been explored in numerous institutions. RESULTS: The radiation tolerance of the whole liver found by several investigations is in the order of approximately 30 Gy, which seriously restricts its clinical application. The role of whole liver irradiation therefore appears of limited benefit in the palliation of patients with multiple liver metastases. The use of three-dimensional conformal techniques has made partial liver irradiation possible to doses in the 70-80 Gy range with conventional fractionation. At least two published series have reported improved local control and survival rates with dose escalation with three-dimensional conformal radiotherapy in patients with unresectable liver metastases. Similar outcomes have been recently reported with single dose (or hypofractionated) stereotactic radiotherapy both in metastatic and primary hepatic malignancies with minimal morbidity. Accurate target delineation and treatment reproducibility are the key to the success of this novel treatment approach, and specific treatment planning techniques and patient setup procedures must be developed to implement it. CONCLUSIONS: Stereotactic high-dose radiotherapy is technically feasible for the treatment of inoperable liver malignancies, with the potential of high local control and low morbidity. Definitive evidence on the clinical advantages of this technique over other more established treatments can only be gathered from well-designed clinical studies.

Treatment of intrahepatic cancers with radiation doses based on a normal tissue complication probability model.

McGinn CJ, J Clin Oncol. 1998 Jun;16(6):2246-52.

Department of Radiation Oncology, University of Michigan Medical School, Ann Arbor 48109-0010, USA. mcginn@umich.edu

PURPOSE: To attempt to safely escalate the dose of radiation for patients with intrahepatic cancer, we designed a protocol in which each patient received the maximum possible dose while being subjected to a 10% risk of radiation-induced liver disease (RILD, or radiation hepatitis) based on a normal tissue complication probability (NTCP) model. We had two hypotheses: H1; with this approach, we could safely deliver higher doses of radiation than we would have prescribed based on our previous protocol, and H2; the model would predict the observed complication probability (10%). PATIENTS AND METHODS: Patients with either primary hepatobiliary cancer or colorectal cancer metastatic to the liver and normal liver function were eligible. We used an NTCP model with parameters calculated from our previous patient data to prescribe a dose that subjected each patient to a 10% complication risk within the model. Treatment was delivered with concurrent hepatic arterial fluorodeoxyuridine (HA FUdR). Patients were evaluated for RILD 2 and 4 months after the completion of treatment. RESULTS: Twenty-one patients completed treatment and were followed up for at least 3 months. The mean dose delivered by the current protocol was 56.6 +/- 2.31 Gy (range, 40.5 to 81 Gy). This dose was significantly greater than the dose that would have been prescribed by the previous protocol (46.0 +/- 1.65 Gy; range, 33 to 66 Gy; P < .01). These data are consistent with H1. One of 21 patients developed RILD. The complication rate of 4.8% (95% confidence interval, 0% to 23.8%) did not differ significantly from the predicted 8.8% NTCP (based on dose delivered) and excluded a 25% true incidence rate (P < .05). This finding supports H2. CONCLUSION: Our results suggest that an NTCP model can be used prospectively to safely deliver far greater doses of radiation for patients with intrahepatic cancer than with previous approaches. Although the observed complication probability is within the confidence intervals of our model, it is possible that this model overestimates the risk of complication and that further dose escalation will be possible. Additional follow-up and accrual will be required to determine if these higher doses produce further improvements in response and survival.

Combined liver radiation and chemotherapy for palliation of hepatic metastases from colorectal cancer.

Mohiuddin M, Chen E, Ahmad N.   J Clin Oncol. 1996 Mar;14(3):722-8.

Department of Radiation Medicine, University of Kentucky, Lexington, USA.

PURPOSE: To report the effects of boost dose radiation on palliation, survival, and toxicity in patients undergoing palliative treatment for hepatic metastases from colorectal cancers and to assess the potential benefits of higher doses of radiation to partial liver volumes. MATERIALS AND METHODS: Forty-five patients with hepatic metastases from colorectal cancers were treated with a course of palliative irradiation. Eligible patients included those with radiographically or histologically proven liver metastases. All patients but one received chemotherapy, either pretreatment (one patient) and/or concurrently with radiation (43 patients) via intravenous or hepatic intraarterial infusion. Patients were divided into two groups based on whether or not boost radiation was given. Thirty-three of the 45 patients (group 1) received whole-liver irradiation at doses that ranged from 8 to 31 Gy at 2.0 to 3.0 Gy per fraction (median dose, 21 Gy). The remaining 12 patients (group 2) received liver irradiation to 20 to 30 Gy followed by a boost dose to the area of dominant disease for a total dose of 33 to 60 Gy. The extent of liver involvement was similar between the two groups. Palliation, overall survival, and toxicity were analyzed with respect to radiation dose. RESULTS: There was no increase in acute effects observed in treating partial liver volumes to higher doses in conjunction with systemic chemotherapy. No cases of radiation-induced hepatitis or nephritis were documented. Hematologic toxicity (> or = grade 3) was observed in four patients with thrombocytopenia, three with leukopenia, and two with anemia. Pain was relieved in 71% and hepatomegaly in 59% of group 1 patients, as compared with 100% and 89%, respectively, of group 2 patients. Other symptoms such as nausea, fever, fatigue, and jaundice were palliated in 35% of group 1 and 90% of group 2 patients. The median survival time for group 1 patients was 4 months (range, 1 week to 26 months), which is consistent with that reported in the literature. The median survival time for group 2 patients was 14 months (range, 2 to 32 months) (P=.01). CONCLUSION: Standard hepatic irradiation followed by boost radiation to partial liver volumes in combination with chemotherapy is well tolerated without significant acute/late morbidity. Higher radiation doses to partial liver volumes offers improved palliative benefit and may prolong survival without an increase in morbidity.