heterotopic_port1.gif (11117 bytes) Heterotopic ossification is a common complication after bone and joint surgery. If the disease progresses, it may cause pain and disability, eventually defeating the purpose of surgery in the first place. Today, prophylactic treatment is indicated after surgery. Both nonsteroidal antiinflammatory drugs and radiation therapy are effective. Radiation therapy is associated with fewer side effects and is preferred. Single-dose postoperative irradiation has been found to be as effective as fractionated radiation therapy. Some of the studies are noted below

picture of Heterotopic bone formation in hip , another picture here
picture of radiation port after traumatic fracture
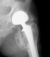
picture of radiation port after total hip
read review article

J Bone Joint Surg Am 1995 Apr;77(4):590-5

Single-dose irradiation for the prevention of heterotopic ossification after total hip arthroplasty. A comparison of doses of five hundred and fifty and seven hundred centigray.

Healy WL, Lo TC, DeSimone AA, Rask B, Pfeifer BA

Department of Orthopaedic Surgery, Lahey Clinic, Burlington, Massachusetts 01805, USA.

One hundred and seven hips (ninety-four patients) that had risk factors associated with the development of heterotopic ossification after total hip arthroplasty were treated with a single dose of radiation after the operation in an attempt to prevent the formation of heterotopic bone. A study was conducted to compare the efficacy of a single dose of 550 centigray (nineteen hips) with that of a single dose of 700 centigray (eighty-eight hips). Heterotopic ossification developed in twelve (63 per cent) of the nineteen hips that were treated with 550 centigray; grades 1, 2, and 3, according to the classification of Brooker et al., developed in four hips each. Two of the patients who received 550 centigray were symptomatic. Heterotopic ossification developed in nine (10 per cent) of the eighty-eight hips that were treated with 700 centigray; the lesion was grade 1 in six, grade 2 in one, and grade 3 in two. None of the patients who received 700 centigray were symptomatic. We concluded that single-dose irradiation consisting of 550 centigray is inadequate for the prevention of heterotopic ossification in high-risk patients after total hip arthroplasty. We recommend a dose of 700 centigray as effective prophylaxis for these patients.

 

Clin Orthop 1995 Aug;(317):131-40

Single dose 6 Gy prophylaxis for heterotopic ossification after total hip arthroplasty.

Fingeroth RJ, Ahmed AQ

Division of Orthopedic Surgery, Baystate Medical Center, Springfield, MA, USA.

Forty-five patients (50 hips) at risk for heterotopic ossification after total hip arthroplasty who received a single dose of 6 Gy postoperative irradiation were compared with a historical control group of 42 patients (50 hips) with similar risk factors who did not receive radiation prophylaxis. All surgeries were done by the same surgeon using the same perioperative protocol. Radiation was delivered through anteroposterior/posteroanterior limited fields, avoiding areas of desired bony ingrowth. Of those hips that received radiation, Grade II or III heterotopic bone developed in 6% and Grade IV heterotopic bone developed in none. Of the control group, Grade II or III heterotopic bone developed in 34% of the hips and Grade IV heterotopic bone in 6%. The radiated hips had a significant net gain in abduction and adduction when compared with the nonradiated hips. No early complications were noted in association with the radiation treatment. A single dose of 6 Gy of radiation given within the first 3 postoperative days provides effective prophylaxis against heterotopic ossification developing after total hip arthroplasty in high risk patients.

 

Int J Radiat Oncol Biol Phys 1999 Sep 1;45(2):461-6

Utility of radiation in the prevention of heterotopic ossification following repair of traumatic acetabular fracture.

Haas ML, Kennedy AS, Copeland CC, Ames JW, Scarboro M, Slawson RG

Department of Radiation Oncology, University of Maryland Medical System, Baltimore 21201, USA.

PURPOSE: Heterotopic ossification (HO) is a common problem following surgical repair of traumatic acetabular fracture (TAF), potentially causing severe pain and decreased range of motion. This report analyzes the role of radiation therapy for prevention of HO in TAF. METHODS AND MATERIALS: The charts of all patients who received RT to the hip following TAF repair between July 1988 and January 1998 were reviewed. Sixty-six patients were identified. RT was given in 5 fractions of 2 Gy in 45 patients, 1 fraction of 8 Gy in 17 patients, and other doses in 4 patients. Treatment fields encompassed periacetabular tissues at highest risk for HO. Time to RT was < or = 24 hours for 46 patients. RESULTS: Radiographic follow-up at least 6 months following RT was available in 47/66 (71%) patients to permit Brooker classification, revealing 6 cases (13%) of Grade III HO, compared to historical incidence in this population of 50%. No Grade IV HO was found. Mean follow-up was 18 months. Four of the Grade III patients had received 10 Gy/5 fractions, and 2 received 8 Gy/1 fraction. Postoperative wound infection occurred in 6 patients, and osteonecrosis of the femoral head was found in 13. CONCLUSIONS: RT following surgical repair of TAF provides effective prophylaxis against formation of clinically significant HO. We recommend a single fraction of 7-8 Gy within 24 hours of surgery to prevent HO formation and minimize patient discomfort.

Int J Radiat Oncol Biol Phys 1998 Jan 1;40(1):171-6

Preoperative vs. postoperative radiation prophylaxis of heterotopic ossification: a rural community hospital's experience.

Kantorowitz DA, Muff NS

Department of Radiation Oncology, North Puget Oncology, Sedro-Woolley, WA 98284, USA.

PURPOSE: In vivo data employing a rat model, suggest equivalent suppression of ectopic bone formation by single-fraction irradiation given either pre (< or = 4 h)- or post (< or = 24 h)-surgery. Two subsequent randomized clinical trials, from tertiary academic centers with robust experience in heterotopic bone prophylaxis, have reached similar conclusions. To assess the transferability of the above data to the community setting we reviewed our rural community hospital experience with pre- and postoperative radiation prophylaxis. METHODS AND MATERIALS: Between 11/90 and 6/96, 16 surgerized hips with high risk of heterotopic bone formation received 7.00-8.00 Gy in one fraction either preoperatively (< or = 4 h) (n = 9) or postoperatively (< or = 3 days for six hips; day 7 for one hip) (n = 7). Initial patients were routinely treated postoperatively. In late 1992, treatment preference was switched to preoperative irradiation in response to evolving data. The two groups were similar with respect to age, sex, nature of surgery, presurgical Brooker and Harris scores, and in U. of Rochester risk classification distribution. Irradiation was given via 4-20 MV photons through equally weighted AP:PA portals to the periacetabular tissues and proximal one third to one-half of the femoral component. Radiation dose, energy, portal, and blocking design were all similar for the two groups. Hip radiographs were obtained immediately postsurgery and at last follow-up: Delta grades (Brooker grade at follow-up--Brooker grade immediately postsurgery) were computed. Harris scale scores of hip function and movement were assigned via personal interviews and examinations performed prior to irradiation and at last follow-up. RESULTS: All 16 hips are evaluable. Follow-up interval among the post-operative group (mean = 39.8 months; range 18.6-65.8) was significantly longer than among the preoperative group (mean = 20.4 months; range 8.6-41.3) (p < 0.02). The mean Delta grade among the postoperative and preoperative groups was identical (-0.02). Similarly, improvement in Harris scale scores, from preirradiation to last follow-up, were nonsignificantly different among postoperative (+43.3) and preoperative (+44.8) groups. There was one postoperative infection in either group; there was no acute or late toxicity attributable to irradiation. CONCLUSION: As heterotopic bone formation is complete within 6 months, the data for both treatment groups may be considered mature. Our community generated results parallel those derived from tertiary care centers. Single-fraction radiation prophylaxis of heterotopic ossification may be given with similar efficacy either < or = 4 h pre- or < or = 24 h postsurgery. For reasons of minimizing patient discomfort, postsurgical movement and radiation staff resource utilization, we prefer and recommend preoperative radiation prophylaxis.

Yonsei Med J 1997 Apr;38(2):96-100

Prevention of heterotopic bone formation after total hip arthroplasty using 600 rad in single dose in high risk patient.

Han CD, Choi CH, Suh CO

Department of Orthopaedic Surgery, Yonsei University College of Medicine, Seoul, Korea.

Nineteen patients received single-dose exposure to 600 rad delivered within 48 hours of total hip arthroplasty (THA) with shielding of the prosthesis region for the prevention of heterotopic ossification. The patients were considered at high risk for developing heterotopic ossification (HO) because of hypertropic osteoarthritis, post-traumatic osteoarthritis or the presence of previously-formed ectopic bone. The average follow-up period was 42 months (range, 37 months-48 months). At a follow-up study, all hips except one were classified as Brooker class 0. The single exception was classified as class I. All patients were asymptomatic at the last follow-up study and no component demonstrated subsidence or radiolucent line indicative of loosening. The authors concluded that 600 rad, single-fraction radiation therapy is cost effective, convenient and safe for the prevention of heterotopic ossification after total hip arthroplasty.

Arch Orthop Trauma Surg 1999;119(5-6):296-302

Prevention of heterotopic bone formation after total hip arthroplasty: a prospective randomised study comparing postoperative radiation therapy with indomethacin medication.

Kienapfel H, Koller M, Wust A, Sprey C, Merte H, Engenhart-Cabillic R, Griss P

Department of Orthopaedic Surgery, Philipps University, Baldingerstrasse, D-35033 Marburg, Germany. kienapfe@mailer.uni-marburg.de

Heterotopic ossification (HO) after total hip arthroplasty is known to be a major complication with an impact on the functional outcome. Efforts have been made to prevent the occurrence of HO by means of either radiation therapy or pharmacotherapy. To date, there are no data available regarding the relative benefit of radiation versus medication with non-steroidal anti-inflammatory drugs. The objective of this study was to compare single-dose 600-cGy radiation therapy with indomethacin medication for their effect on the prevention of heterotopic bone formation after total hip arthroplasty. In all, 154 patients were included in the study. All patients underwent primary total hip arthroplasty due to osteoarthritis. Patients were randomly assigned to three different therapeutic groups. (a) The radiation group received a single radiation dose of 600 cGy between the 2nd and 4th postoperative day. (b) The indomethacin group received an oral application of indomethacin 2 x 50 mg per day from the 1st to 42nd postoperative day. (c) The control group received neither radiation nor indomethacin medication. There were significant group differences (P < 0.001). A least significant difference test (LSD) revealed that the mean of the control group was significantly different from that of the radiation and indomethacin groups. The 13 patients (8.4%) classified Brooker 3 or 4 were all in the control group. Again, this effect was statistically significant (chi-square, P < 0.001). In conclusion, this study demonstrated that both radiation and indomethacin therapy are effective in the prevention of postoperative HO. The choice for either one of the treatments has to be based on availability, contraindications, side-effects, practicability, standardisation and cost. Based on these considerations together with the results of this study, we currently use postoperative radiation with 600 cGy for all patients undergoing primary total hip arthroplasty.

 

J Bone Joint Surg Am 1992 Feb;74(2):186-200

Prevention of heterotopic ossification with irradiation after total hip arthroplasty. Radiation therapy with a single dose of eight hundred centigray administered to a limited field.

Pellegrini VD Jr, Konski AA, Gastel JA, Rubin P, Evarts CM

University of Rochester School of Medicine and Dentistry, New York 14642.

Sixty-two hips in fifty-five patients who were considered to be at risk for postoperative heterotopic ossification were randomly divided into two groups: one received a single 800-centigray dose of limited-field radiation and the other, 1000 centigray of limited-field radiation in divided doses. The risk for heterotopic-bone formation was identified on the basis of previously described criteria, which included previous heterotopic ossification after an operation about the hip, hypertrophic osteoarthritis or post-traumatic osteoarthrosis characterized by formation of extensive osteophytes, radiographic evidence of diffuse idiopathic skeletal hyperostosis, ankylosing spondylitis, and male sex. The treatment portals excluded prosthetic surfaces that were intended for biological fixation by ingrowth of bone. At a minimum six-month follow-up, progression of heterotopic ossification had occurred in seven (21 per cent) of thirty-four hips in the first group and in six (21 per cent) of twenty-eight hips in the second group. The ossification had advanced more than one grade in only one hip. Extra-field ossification occurred in fifteen (43 per cent) of thirty-five hips that had not had previous heterotopic ossification. Since the time of the study, the treatment portal has been modified to include the lateral aspect of the greater trochanter, so that the risk of bursitis associated with ossification in this area is minimized. Single-dose limited-field radiation is effective for the prevention of heterotopic ossification, without compromise of early fixation of an uncemented implant.

Arch Phys Med Rehabil 1995 Mar;76(3):284-6

Heterotopic ossification: treatment of established bone with radiation therapy.

Schaeffer MA, Sosner J

Department of Rehabilitation Medicine, St. Vincent's Hospital and Medical Center, New York, NY 10011, USA.

Ectopic bone formation or heterotopic ossification (HO) is frequently seen on rehabilitation units after total hip arthroplasties, burns, and neurological injuries. Currently the major role for treatment is in prophylaxis and the major methods include anti-inflammatory medications, irradiation, and diphosphanate administration. These prophylactic measures are generally considered to be ineffective for the treatment of ectopic bone once it has already formed. We describe two cases of HO for which a radiation therapy protocol was used to treat established, ectopic bone after it had become problematic. Both patients were found to have increased range of motion and decreased complaints of pain after treatment, though no gross plain film x-ray changes were noted. We conclude that radiation therapy may be useful not only for prophylaxis of heterotopic ossification but for ectopic bone after it has been formed, especially when pain and progressively decreased range of motion are problematic.

J Arthroplasty 1998 Dec;13(8):854-9

The suppression of heterotopic ossifications: radiation versus NSAID therapy--a prospective study.

Sell S, Willms R, Jany R, Esenwein S, Gaissmaier C, Martini F, Bruhn G, Burkhardsmaier F, Bamberg M, Kusswetter W

Orthopaedic University Clinic Tubingen, Germany.

This prospective, randomized study compares the effect of postoperative irradiation and nonsteroidal anti-inflammatory drug (NSAID) therapy on the prevention of heterotopic ossifications after the implantation of a total hip endoprosthesis. A total of 154 operations were performed; one group of patients underwent radiation treatment of 3 x 3.3 Gy, and the other group took 3 x 50 mg of diclofenac per day over a period of 3 weeks. Average age, sex, preoperative diagnosis, and risk factors were similar in both groups. Postoperative radiation began on average 2.9 days after operation, and the radiation therapy was finished on average within 3.8 days. NSAID prophylaxis was begun on the first postoperative day. Heterotopic ossifications occurred in two of the patients who had undergone postoperative prophylaxis by radiation. In both cases, the ossification was Brooker I, and there was no functional impairment. There were no ossifications of Brooker II-IV in this group. One patient had a Staphylococcus epidermidis infection, and fistula revision had to be carried out; the prosthesis could be left in place. In the group treated with NSAID, 16 heterotopic ossifications stage Brooker I and 2 stage Brooker II could be detected. Eleven patients stopped the treatment because of gastrointestinal problems. Both postoperative radiation and NSAID therapy have proved to be effective prophylactic methods. In direct comparison, radiation prophylaxis by 3 x 3.3 Gy proved to be slightly more successful than NSAID prophylaxis.

Complications of total hip arthroplasty

Heterotopic ossification Heterotopic ossification (HO) is a process by which the soft tissues around the hip become ossified. Following total hip arthroplasty, HO typically occurs around the femoral neck and adjacent to the greater trochanter. HO occurs when primitive mesenchymal cells in the surrounding soft tissues are transformed into osteoblastic tissue. This tissue then forms mature lamellar bone.

  Incidence The incidence of HO varies widely and may reach up to 90 percent when evaluated in high risk populations.

  Risk factors for HO The exact trigger for HO following total hip arthroplasty is unknown, but risk factors have been identified.

  bullet HO is twice as common in males as compared to females.
  bullet Patients at high risk for developing HO after total hip arthroplasty include men with bilateral hypertrophic osteoarthritis, patients with a history of HO in either hip, and patients with posttraumatic arthritis characterized by hypertrophic osteophytosis.

  bullet Patients at moderate risk include those with ankylosing spondylitis, diffuse idiopathic skeletal hyperostosis (DISH), Paget's disease, or unilateral hypertrophic osteoarthritis.

  bullet 
Other risk factors include females over the age of 65 at the time of surgery, and a lateral surgical approach to the hip. Although one study by Maloney found that the incidence of HO was higher with cementless femoral components, more recent studies have shown that type of fixation (cemented or cementless) does not affect the incidence of HO

  Symptoms Hip stiffness is the most common complaint. Pain is rarely a problem. Many patients with radiographically low-grade HO are asymptomatic

  Physical findings Some patients with severe HO may have signs of inflammation including fever, erythema, swelling, warmth, and tenderness. Such findings are also suggestive of wound or prosthetic joint infection.

  Laboratory studies Development of severe HO has been correlated with a sedimentation rate greater than 35 mm/hr  and a serum alkaline phosphatase greater than 250 IU/L at 12 weeks postoperatively.

  Classification HO is typically evaluated radiographically. The most widely accepted classification system includes four grades based on an AP radiograph of the pelvis and hip

  bullet Grade I represents islands of bone within soft tissues about the hip.
  bullet Grade II includes bone spurs adjacent to the pelvis or proximal end of the femur leaving at least 1 cm between opposing bone surfaces.
  bullet Grade III represents bone spurs adjacent to the pelvis or proximal end of the femur leaving less than 1 cm between opposing bone surfaces
  •
Grade IV represents radiographic ankylosis of the hip.

  Imaging Findings of ossification may be visible on plain radiographs within 3 to 4 weeks postoperatively. Maturation of the HO may take up to 1 or 2 years. Bone scanning typically shows increased uptake in the soft tissues adjacent to the hip. But these findings are not specific for HO.

The maturation process can be monitored by serial radiographs or bone scan.

  Prophylaxis for HO The first step in effective prophylaxis is to identify patients who are at high risk for HO preoperatively. Routine use of prophylaxis is not indicated. Currently, nonsteroidal antiinflammatory drugs (NSAIDs) and external beam radiation have been used most successfully in preventing HO. Prophylactic measures against HO after total hip arthroplasty should be administered before the fifth postoperative day, optimally within 24 to 48 hours.

  bullet Indomethacin — Indomethacin is the most commonly used NSAID for HO prophylaxis, although other NSAIDs have demonstrated some effectiveness. Selective COX-2 inhibitors, unlike traditional NSAIDs, have not demonstrated effective HO prophylaxis. The recommended dose of indomethacin is 75 to 100 mg/day and should be continued for 7 to 14 days postoperatively. Bleeding complications are more frequent in patients receiving indomethacin in conjunction with anticoagulation for thromboembolic prophylaxis, and careful monitoring should be implemented.

  bullet 
External beam radiation External beam radiation has also demonstrated efficacy in prevention of HO after total hip arthroplasty. A year 2004 meta-analysis of seven randomized studies that compared radiation to NSAIDs concluded that radiotherapy is more effective, but the absolute difference in the rates of clinically significant HO are quite small, on the order of one percent. A single dose regimen of 700 or 800 centigray is recommended. Radiation may be administered preoperatively (within 24 hours) or postoperatively (within 72 hours). If cementless prosthetic components are used, the ingrowth areas should be shielded from the radiation beam. Currently, there is no clinical evidence supporting malignant transformation following this type of single dose regimen.