|
|
Radiation therapy for
hepatocellular carcinoma
From palliation to cure
Hawkins. Cancer 2006;106;1653 |
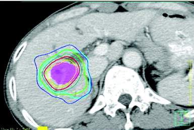
| Technologic advances have
provided the means to deliver tumoricidal doses of radiation therapy (RT) to
patients with unresectable hepatocellular carcinoma (HCC) while avoiding
critical normal tissues, providing the opportunity to use RT for curative
intent treatment of HCC. For the current report, the expanded role of
external beam RT in the setting of HCC from palliation to cure was reviewed.
A systematic literature search was undertaken using the MEDLINE data base and secondary references to identify peer-reviewed, English-language articles that reported clinical outcomes after external beam RT alone or in combination with other treatments for HCC. Abstracts from the 2005 American Society of Clinical Oncology, American Society for Therapeutic Radiology and Oncology, American Gastrointestinal Association, and Society of Surgical Oncology Gastrointestinal Cancer Symposium also were included in the search. More than 60 articles reporting on clinical outcomes among patients who received RT for HCC have been published since 1990, including 20 articles that described unique sets of at least 15 patients. RT was used for palliation, to improve local control, and with curative intent in a wide spectrum of patients who most often were unsuitable for surgery and other treatments. Pain reduction following RT was noted in approximately 75% of patients with bone metastases from HCC who received RT. For patients with liver-confined disease treated with conformal RT, proton beam RT, and/or image guided RT with or without transarterial chemoembolization (TACE), local control response rates ranged from 40% to 90%, and the median survival ranges from 10 months to 25 months. For patients with HCC who had portal vein thrombus, the median survival after RT to treat the thrombus and/or the hepatic tumor with or without TACE ranged from 5.3 months to 9.7 months. Although outcomes after high-dose conformal RT for liver-confined HCC were excellent, the potential survival benefit of RT should be tested in randomized controlled trials that require international collaboration. |
|
|