Radiation and Vertebral Hemangiomas

see picture here

Vertebral hemangiomas are benign lesions of dysembryogenetic origin leading to resorption of underlying bone.  Usually not more than one vertebra is involved.

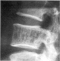
In vertebral lesions, fine or coarse vertical trabeculation is the common appearance with loss of the fine secondary trabeculae. This appearance is mainly found in the vertebral body, but may extend into the neural arch (picture). On MRI, compared with most bony lesions, vertebral haemangiomas show increased SI on T1- and T2-weighted sequences because of their increased fat content. Vertebral haemangioma. (A) CT demonstrates the characteristic appearance of dense ‘dots’ representing the thickened primary trabeculae within a fatty matrix. (B) Coronal T1-weighted MRI in a different patient demonstrating a hyperintense lesion in T10 consistent with the fatty matrix of a haemangioma. (picture)

Hemangioma is the most common benign vascular tumor of bone. Most hemangiomas involve the vertebral body or skull, and involvement of other bones is rare. However, involvement of long and short tubular bones has been reported. Roentgenograms usually show multiple or multilocular lytic lesions. Vertebral involvement usually is an incidental finding and requires treatment only when neurological function is compromised.

Previously, radiotherapy has been the mainstay of treatment, but with the evolution of anterior spinal surgery, most hemangiomas can be satisfactorily treated by surgical means. Blood loss from curettage of such lesions may be extensive.

Is there a dose-effect relationship for the treatment of symptomatic vertebral hemangioma?

Rades. IJROBP; 2003:55:178

Radiologic examinations contribute to the diagnosis. On plain X-ray films, the so-called “honeycomb” appearance or coarse vertical striations can be observed, if at least one-third of the vertebral body is involved. Sometimes compression fractures can be seen. The CT scans may show the so-called “polka dot” appearance representing axial cuts caused by thickened vertical trabeculae. MR imaging is helpful for the differentiation between intraosseous (nonevolutive) and extraosseous (more frequently associated with symptomatic lesions) hemangioma. Because of a higher content of fat tissue, intraosseous lesions show an increased signal on T1- and T2-weighted images. Extraosseous lesions contain only little fat and show an isointense signal on T1- and an increased signal on T2-weighted images.

Symptomatic vertebral hemangiomas are rare. Onset of symptoms most frequently occurs in the fourth or fifth decade of life. The relation of female to male ranges between 2:1 and 9:2 . The symptom most frequently observed is pain, but motor dysfunction due to spinal cord compression may also occur.

Therapeutic intervention is indicated only if relevant symptoms develop. Radiotherapy (RT) is the most common treatment for painful lesions. Other conservative treatment options are embolization, intralesional injection of ethanol, or vertebroplasty with methyl methacrylate Surgery is often performed in the case of spinal cord compression. This analysis was performed to investigate a possible dose-effect relationship and to enable a recommendation for the total radiation dose to be applied.

: Individual data from our own and published patients with symptomatic vertebral hemangioma treated with radiotherapy alone were obtained. The data were pooled, and the impact of the total dose on complete pain relief was evaluated using the chi-square test. Because different single-fraction doses were used, the equivalent dose in 2-Gy fractions (EQD2) was used for the analysis.

: Complete data could be obtained from 117 patients. Patients were categorized according to total dose (EQD2) into two groups of similar size (Group A: 20–34 Gy, n = 62; and Group B: 36–44 Gy, n = 55). Radiation-induced complete pain relief was achieved in 39% (24/62) of the patients in Group A and in 82% (45/55) of the patients in Group B. The difference was statistically significant (p = 0.003).

: The data suggest a dose-effect relationship in the radiotherapy of symptomatic vertebral hemangiomas. We recommend a total radiation dose 36–40 Gy with a dose per fraction of 2.0 Gy.

Radiotherapy is effective in the treatment of symptomatic vertebral hemangiomas (SVH): Long-term results of a multicenter study in germany

Micke. 2004;60:S244

Vertebral hemangioma is the most commonly encountered tumor of the vertebral column with an estimated incidence of 10–12% in the western population. Only 0.9–1.2% of all vertebral hemangiomas are symptomatic with pain as main complaint requiring treatment. The use of radiotherapy (RT) in SVH has a long tradition, but optimal dose and possible late effects are controversial in the light of new treatment options, like microsurgery and vertebroplasty.

Materials/Methods

Seven cooperating German institutions collected clinical features, treatment concepts, and outcome data of all patients with SVH referred to local RT during the last 35 years; the updated outcome was determined from case history notes, tumor registry correspondence or by individual telephone interviews. Study end points were pain relief after RT (complete, partial, or no pain relief), symptomatic and radiological response, recurrent disease activity, and treatment-related side effects. Median follow-up time was 68 (6–422) months.For comparison a comprehensive literature review with 65 published studies (1929–2003) representing 355 patients was used.

Results

From 1969 to 2003 a total of 82 patients with 86 lesions were irradiated for SVH. There were 56 female and 26 male patients (gender ratio: 2.2:1). Diagnosis was primarily radiologically confirmed, 18 patients (22.0%) had additional biopsy confirmation. Median age was 48 (12–79) years. Thoracic spine was most often involved (n = 45; 55.8%), followed by lumbar (n = 35; 42.7%), and cervical spine (n = 2; 2.5%). Primary symptom for treatment indication was pain, 23 (28.0%) patients had additional neurological symptoms. In most patients one vertebral body was involved, 11 (13.4%) had one or more involved vertebrae. Prior to RT, 19 Patients (23.2%) had a surgical intervention.

Radiotherapy of the involved bony and soft tissue structures was performed with a median total dose of 34 (4.5–45) Gy, the median single dose was 2 (0.5–3) Gy. RT was carried out with linacs in 48.8% (n = 40), Co-60 units in 41.5% (n = 34), and orthovoltage units in 9.7% (n = 8).

A total of 61% of patients reached complete and 29.2% partial symptomatic remission, only in 9.8% no pain remission was achieved. 8 patients had recurrent symptoms after a median time of 70 months, resulting in a long-term control rate of 90%. In 27% radiological signs of reossification were observed. However, logistic regression showed no significant correlation with pain relief. Age, gender and tumor location also revealed no significant influence on pain response. Most important, however, total doses of 34 Gy and above had significantly superior treatment results and fewer recurrences than total doses lower than 34 Gy.

No acute and late radiogenic side effects >Grade 2 (RTOG/EORTC) were observed, and particularly no secondary malignancies.

In comparison, the literature review revealed a slightly lower complete response rate with a mean of 58%.

Conclusions

This study comprises the largest data base of cases reported for RT in SVH. RT is an easy, save and effective method of pain-relief treatment for SVH. Total doses of at least 34 Gy give better symptomatic response, but without correlation to radiological response. The study may serve as a starting point for a patterns of care study on RT for SVH. An (inter-) national registry for rare benign diseases is recommended to include this benign disorder

Radiotherapy in Vertebral Hemangioma

Aksu. IJROBP; 2005:63:S429

Vertebral hemangiomas are the most common benign tumors of the vertebral column with an incidence of 10–12 % in the population. Women are affected by this type of tumor more often than men. As being usually a asymptomatic and slowly growing tumor type, it rarely causes clinical problems requiring treatment. Local pain is the most frequently observed symptom but neurological dysfunction may become apparent due to the spinal extension. The treatments utilized for the symptomatic patients of this tumor range from alcohol injection and surgery to external radiotherapy. In this study, we have analyzed the results of radiotherapy in the management of symptomatic vertebral hemangiomas.

Materials/Methods: In this study, 28 patients with symptomatic vertebral hemangiomas who were treated between 1999 and 2004 have been investigated retrospectively. The age of patients ranged from 28 to 75, with a mean of 55 years. There were 22 females and 6 males.

Results: Suffering of pain was the most significant complaint of all patient in the study. Two of them also had numbness in lower extremity. The median duration of symptoms was 12 months, ranging from 1 month to 20 years. Twenty two patients had a single vertebral involvement while 6 had multiple vertebral involvements. CT scan or MR images demonstrated the lesions for all cases before irradiation. Eighteen patients had lesions in the lumbar level, 5 in thoracic, 1 in cervical, 1 in sacral and 3 had both in thoracic and cervical levels at the same time. In 86 % of cases, hemangioma was found to involve the more than one third of the vertebral body. Radiotherapy was given 2 Gy daily fractions in four weeks to a total dose of 40 Gy. Treatment was undertaken by single posterior field or anteroposterior / posteroanterior (AP/PA) fields with posterior weighted. Mean follow up time was 18 (1,5 - 63) months after radiotherapy.

Symptomatic improvement was observed in 24 of 28 patients. Complete pain relief was achieved in 54 %, while partial response in 32% of the patients. The median time to improvement of symptoms was 2 months after radiotherapy. Four out of 28 patients have not been responsive to the treatment. There were no treatment related severe acute and late side effects.

Conclusions: We have concluded that radiation therapy is very effective in the management of symptomatic vertebral hemangiomas probably due to the anti-inflammatory effect of radiation on the hemangioma.