| PET Scans are even
better than CT scans, see PET's from the cases : a, b, c,
d, e,
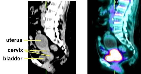
f , Stage IIIb bulky cervix cancer here and here., early stage cervix (IB2) PET here also PET scan uterus here and here and here. PET scan of ovary cancer here. PET scans are good for looking at lymph node spread: go here and here PET scan of vulva cancer that has spread to the right groin lymph nodes is noted below |
|
|
|
|
|
|