setstats

setstats

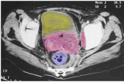
CT Scan Showing  Advanced Cervix Cancer

ct_cervix_color.jpg (11836 bytes)

CT Scan of the pelvis showing a large uterus/cervix mass pushing into the side wall (parametrium)

red = cancer (uterus and cervix) yellow = bladder
blue = rectum

 

go here for more CT images of cervix cancer in various stages and go here for picture of a normal CT scan of the female pelvis area