cervixemed1.jpg (5240 bytes)

cervixemed2.jpg (4888 bytes)

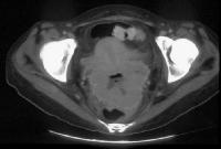
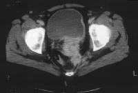
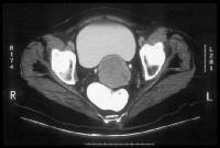
Stage Ib carcinoma confined to the cervix. CT image shows a mass with slightly heterogeneous area of attenuation expanding the cervix and surrounded by a thin rim of relatively preserved stroma. The cervical margins are smooth, well defined, and intact. Parametrial soft-tissue stranding or masses are lacking, and the periureteral fat planes are preserved. Cervix, cancer. CT image depicts a large lobulated mass replacing the cervix and showing non-uniform hypoattenuation. The air and fluid in the center of the mass are consistent with tumor necrosis and complicating infection (the patient had purulent discharge). The central hypoattenuation in the uterine corpus is suggestive of minimal fluid in the cavity.

cervixemed3.jpg (5271 bytes)

cervixemed4.jpg (5150 bytes)

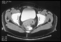
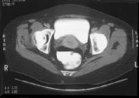
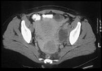
Cervix, cancer. Clinical stage IIb cervical carcinoma . The parametrial invasion is depicted with CT as loss of definition of the cervical contours accompanied with increased attenuation and prominent soft-tissue stranding in the parametrial fat. Parametritis can result in similar findings. The cervix shows ill-defined hypoattenuation, but the tumor is not clearly delineated. Cervix, cancer. CT demonstrates a markedly enlarged lymph node at the left pelvic sidewall. This finding is consistent with pelvic lymph node metastasis, which is indicative of stage IIIb disease. The cystic consistency is not unusual for metastatic cervical carcinoma. The primary tumor is well depicted as a hypoattenuating, circumscribed mass. A cyst is present in the anteriorly located left ovary.

cervixemed5.jpg (4342 bytes)

cervixemed6.jpg (5738 bytes)

Cervix, cancer. CT demonstrates a cervical tumor directly extending into the posterior wall of the bladder and into the left pelvic sidewall. Extension into the pelvic sidewall is a feature of stage IIIb disease whereas involvement of the bladder wall is a feature of stage IVa disease. Cervix, cancer. Parametrial and rectal invasion by cervical carcinoma are depicted with CT as loss of definition of the cervical contours accompanied with masslike soft tissue that replaces the parametrial fat on the right and that extends into the anterior and right-sided rectal walls.

setstats 1