cancer_cells.jpg (9148 bytes)

Breast cancer cells start out as normal milk duct cells. The more mutated they become, the more serious and the greater the risk of spread. The degree of abnormality is called the grade (slow growing cells would be low grade or grade 1, medium abnormal would be grade 2 or moderate, and fast growing, very mutated appearing cells would be grade 3 or 4 or high grade or poorly differentiated.) Studies show that higher grade tumors are more likely to relapse (see data.)

Some cancers have an abnormal genetic pattern referred to as over expression or amplification of HER2 neu and may be treated differently (Herceptin or Lapatinib) and see section on Oncotype Dx below and the discussion on classifying cancer by molecular subgroups (here)
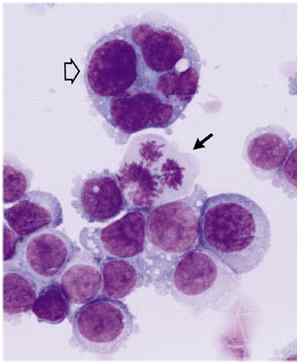
If the cells are so mutated that they have an abnormal number of chromosomes (or multiple nuclei as in open arrow) they are called aneuploid. If the cells are rapidly dividing (black arrow shows cell in mitosis) they have a high or fast S-phase (synthesizing DNA). This is also a worrisome sign.

Risk of relapse in patients with negative (clear) lymph nodes is related to how mutated the cells are or how rapidly dividing, the risk of relapse in Stage I cancers is as noted below:

5y Relapse Rate based on Tumor Cell DNA
Diploid DNA 8%
Aneuploid DNA 18%

5y Relapse Rate Based on S Phase of Tumor Cells
Low S - Phase 11%
Moderate S - Phase 19%
High S- Phase 31%

                                                          Path Ann 1990;25:173, NEJM 1990;322:1045

As noted below: sophisticated genetic evaluation of breast cancer cells, may be more accurate at predicting patient survival than more traditional test, like the lymph node status. A genetic profile is available called oncotype DX (go here and see graph below) which can improve making predictions about the risk of a relapse.

A Gene-Expression Signature as a Predictor of Survival in Breast Cancer.
The gene-expression profile we studied is a more powerful predictor of the outcome of disease in young patients with breast cancer than standard systems based on clinical and histological criteria. we classified a series of 295 consecutive patients with primary breast carcinomas as having a gene-expression signature associated with either a poor prognosis or a good prognosis. All patients had stage I or II breast cancer and were younger than 53 years old; 151 had lymph-node–negative disease, and 144 had lymph-node–positive disease.  All patients had been treated by modified radical mastectomy or breast-conserving surgery, including dissection of the axillary lymph nodes, followed by radiotherapy if indicated. Ten of the 151 patients who had lymph-node–negative disease and 120 of the 144 who had lymph-node–positive disease had received adjuvant systemic therapy consisting of chemotherapy (90 patients), hormonal therapy (20), or both (20).

breast_gene_vijver.jpg (30335 bytes)

breast_paik_genetics.gif (8362 bytes)

Likelihood of Distant Recurrence, According to Recurrence-Score Categories.

A low risk was defined as a recurrence score of less than 18, an intermediate risk as a score of 18 or higher but less than 31, and a high risk as a score of 31 or higher. There were 28 recurrences in the low-risk group, 25 in the intermediate-risk group, and 56 in the high-risk group. The difference among the groups is significant (P<0.001).from A Multigene Assay to Predict Recurrence of Tamoxifen-Treated, Node-Negative Breast Cancer
Soonmyung Paik,  N. Engl. J. Med. 2004 351: 2817-2826.