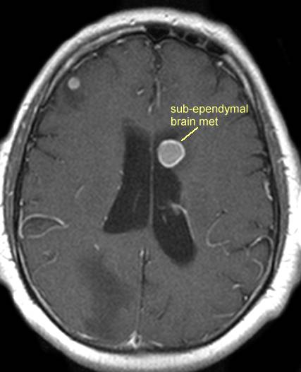
normal MRI Brain Scan, single small  brain met , single met:  here , here, and heresmall, single brain met , large single brain met , large cystic single met, necrotic metsingle met with bleeding (hemorrhage), unusual brain met here

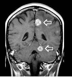
multiple (2 large mets), more multiple cases:  herehere, here, here , multiple (many small lesions) , large single met , multiple brain mets from breast cancer: patient   #1 and patient #2

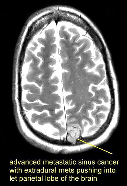
brain mets that eroded through the skull here and an extradural met pushing into the brain here
 

renal_typical_brain_met.jpg (13586 bytes)

brain_met_midline.jpg (15180 bytes)

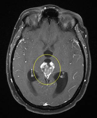
unusual metastases to the midline in the third ventricle, from lung cancer

large cystic brain metastasis from lung cancer

    
Picture on left is not a metastatic lesion but a brain abscess!    Go here and here

another picture with a small enhancing lesion with

massive edema...was NOT a brain met but

an infection with toxoplasmosis